מה זו בדיקת השקיפות העורפית ?
שקיפות עורפית היא בדיקת סקר לתסמונת דאון. מדובר בבדיקת אולטרהסאונד המעריכה את הסיכון של העובר לתסמונת דאון.
למה חשוב לבצע שקיפות עורפית ?
הבדיקה מעריכה את הסיכון לתסמונת דאון המתבטאת בפיגור שכלי ומומים רבים. תסמונת דאון נפוצה ביותר והשכיחות שלה עולה עם הגיל. השקיפות העורפית היא חלק ממערך בדיקות סקר שנועדו להחליט למי מומלץ לבצע דיקור מומלץ לבצע בדיקת מי שפיר. שקיפות עורפית לא תקינה משוייכת עם מומי לב וסינדרומים שונים.
מתי מבוצעת הבדיקה?
הבדיקה מבוצעת בין שבוע 11 ל 14. עדיף לבצע את השקיפות סביב שבוע 12 על מנת להימנע מקצוות הטווח.
על הבדיקה עצמה:
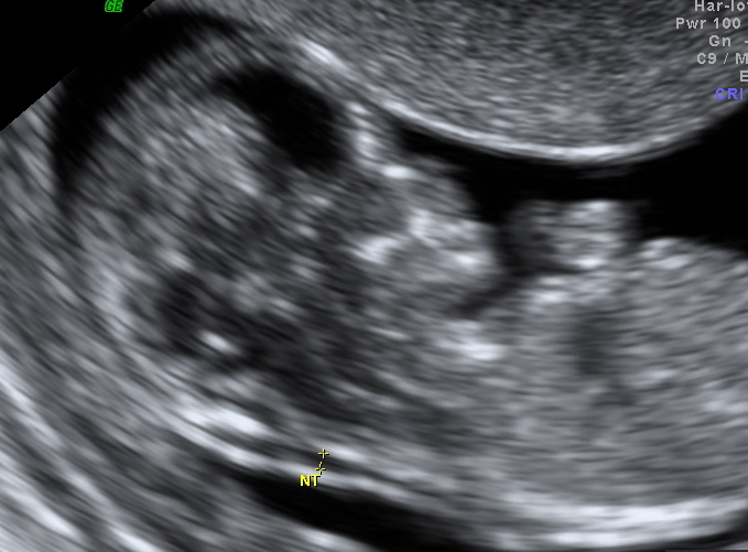
הבדיקה מבוצעת על הבטן או מהנרתיק והכל לפי החלטת הרופא. בתמונה סימנתי את השקיפות עם שתי צלבים ורשמתי NT ליד.
את הבדיקה מבצע מומחה באולטרהסאונד שעבר הכשרה ומיומן לבצע את הבדיקה.
הבדיקה לוקחת ברב המקרים כ 15 דקות, לפעמים יותר.
היכן מבצעים את הבדיקה?
הבדיקה נמצאת כיום בסל הבריאות וניתן לבצעה בקופות חולים.
בנוסף ניתן לבצע את הבדיקה במסגרת הבטוחים המשלימים ובמרפאות פרטיות.
ניתן לאתר 70% ממקרי תסמונת דאון בעזרת הבדיקה. הוספת בדיקות סקר נוספות מעלה את הרגישות של הבדיקה.
האם ניתן לוותר על הבדיקה אם עשיתי בדיקת סקר לתסמונת דאון מדם האם (NIPT?)
לא, מאחר ובדיקה לא תקינה יכולה להעיד על מחלות וסינדרומים נוספים שאינם מתגלים כשגרה בבדיקת NIPT.
מה עושים אם הבדיקה אינה תקינה?
ראשית לא להילחץ, ברוב המקרים ההריון מסתיים בהצלחה והעובר בריא, במאמר ״שקיפות עורפית מעובה״ מה המשמעות ? סיכמתי עבורכן את הנושא.
דר אגמון ארנון
arnonagmon.com/blog
דר אגמון ארנון arnonagmon.com/blog
 
								 
															 
															

 
															
2 תגובות