סימנים המחשידים לתסמונת דאון בסקירת מערכות העובר כוללים סימנים "רכים" ומומים מבניים (או אנומליות חמורות).
סימנים רכים הם שינויים או וריאציות של אנטומיה נורמלית שלמעט מהשיוך שלהם עם חסר או עודף כרומוזומים אינם בעלי חשיבות קלינית. סימנים אלו בד"כ אינם טיפוסיים לבעיה מסויימת, הם חולפים ויכולים להופיע גם בעוברים ללא חסר או עודף בכרומוזומים.
מומים מבניים הם סטיות מבניות בעלות השלכות רפואיות או קוסמטיות רציניות.
ראוי לזכור כי: רק ב25% מהעוברים עם תסמונת ע"ש דאון נראה מום מבני (אנומליה חמורות) כאשר שיעור הגילוי בחלק מהעבודות בספרות אף נמוך מזה.
הסימן הנפוץ ביותר לתסומנת דאון (וטריזומיות אחרות) הינם מומי לב. מום לב קיים ב 50% מהעוברים עם דאון. מום הלב הנפוץ ביותר הינו פגם בין שתי צידי הלב (VSD, AVSD) אך קשה להדגימו בסקירת המערכות.
סימנים רכים כוללים:
מערכת השלד והעור: העדר או עצם אף קטנה, עצמות קצרות, מרווח רחב בין הבהן ו והאמה בכף הרגל (נקרא מרווח הסנדל), עצם אמצעית קטנה בזרת (התמונה בתחילת הבלוג), אוזן קטנה, זוית רחבה של עצם הכסל (עצם האגן) וקפל עור צווארי עבה.
חלל הבטן והחזה: נקודה אקוגנית בלב (אקוגני אומר בוהק באולטרהסאונד), מעי אקוגני, הרחבת אגני כליה, שתי כלי דם בחבל הטבור (נצפה סביב השלפוחית)
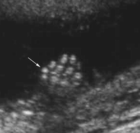
בתמונה הבאה מודגם מוקד אקוגני בלב העובר
בתמונה הבאה מודגם עובר בזמן השקיפות ללא עצם אף
מומים מבניים כוללים:
מח ועור: היגרומה ציסטית או כיסות הצוואר (ציסטות באזור הצוואר), הרחבת חדרי המח.
מעי: אי התפתחות הוושט (קשה מאד לראות), אי התפתחות חלק מהמעי הדק הנקרא דאודנום, אומפלוצלה (מעבר מעי או כבד לתוך חבל הטבור)
לב וכלי דם: אנומליות שונות, כגון מערך עורקים לא תקין בקשת אבי העורקים (ראו בלוג נפרד) או פגמים בדופן הלב המחלקת את שתי חדרי או עליות הלב.
בתמונות הבאה ניראית היגרומה ציסטית באולטרהסאונד וביילוד
בעיות אחרות היכולות להעיד על תינוק עם דאון:
נוזל מסביב ללב, נוזל מסביב לראות, נוזל מסביב לאיברים אחרים בגוף העובר, לשון בולטת, פנים שטוחות (בפרופיל) וכו'
חשוב לזכור כי ברוב המיקרים בהם מתגלה סימן רך לתסמונת דאון בסקירת המערכות, העובר תקין. כאשר מתגלים יותר מסימן רך אחד או מתגלים מומים מבניים הסיכון לתסמונת דאון גדל. בכל מקרה יש לפנות לרופא המטפל בכל ממצא חריג.
כיום ניתן לבצע בדיקת דם לתסמונת דאון מדם האם: ראו בבלוג וכמו כן בטבלה המשווה בין החברות המציעות את הבדיקה
ביבליוגרפיה
אולטרהסאונד במיילדות וגניקולוגיה, קאלן, מהדורה חמישית, 2008




